Segui Giuseppe Speziale sui Social Network

Insufficienza mitralica

Definizione

L’insufficienza mitralica è un vizio valvolare caratterizzato da incompleta chiusura della valvola e conseguente abnorme reflusso sistolico dal ventricolo sinistro all’atrio sovrastante durante la sistole ventricolare.

Dopo la stenosi aortica, è la seconda più frequente patologia valvolare riscontrata nei Paesi occidentali, rappresentando, secondo recenti stime europee, circa un terzo dei vizi valvolari acquisiti che interessano le cavità sinistre del cuore.

Nei Paesi sviluppati, le cause che più incidono sono quelle degenerative ed ischemiche.
L’insufficienza mitralica di natura ischemica, in particolare, può verificarsi in seguito ad un evento acuto (come un infarto miocardico posteriore che determina la rottura del muscolo papillare posteriore con conseguente insufficienza mitralica per sbandieramento del lembo valvolare posteriore), o per una condizione di ischemia miocardica cronica con progressiva disfunzione del ventricolo sinistro e conseguente alterazione di uno o più componenti dell’apparato valvolare mitralico (come conseguenza di un rimodellamento ventricolare o a causa della fibrosi di un muscolo papillare).
In questo contesto, la trattazione dell’anatomia della valvola mitrale non può prescindere dalla descrizione di quelle strutture sottovalvolari che ponendosi in rapporto con la valvola stessa vengono a costituire un’unica struttura dal punto di vista anatomo-funzionale, e quindi conseguentemente dal punto di vista fisiopatologico.

AnatomiaValvola-mitrale-(1).jpg

L’apparato valvolare mitralico è costituito da diversi elementi, i lembi valvolari (anteriore e posteriore), l’annulus, le corde tendinee, i muscoli papillari, il ventricolo sinistro, la cui integrità e interdipendenza è responsabile della normale coaptazione.



1. L’anulus è una struttura flessibile costituita da tessuto fibroso e muscolare, che unisce atrio (6) e ventricolo sinistro (5), e sul quale si inseriscono direttamente i lembi valvolari. La sua conformazione varia in rapporto al ciclo cardiaco, muovendosi verso l’apice del ventricolo sinistro in sistole e verso l’atrio sinistro in diastole.

Visto in tre dimensioni l’anulus si presenta con una forma a sella, con il punto più alto situato nella parte mediana dell’anulus anteriore e il punto più basso situato anterolateralmente e posteromedialmente in prossimità delle due commissure.
Strutturalmente l’anulus è formato da tessuto fibroso e muscolare.
Annulus-speziale.jpg
Forma a sella dell’anulus mitralico

2. I lembi valvolari che costituiscono la valvola mitrale sono due, distinti per la loro disposizione spaziale in lembo anteriore e posteriore. Con il loro movimento sono responsabili della chiusura ed apertura della valvola durante le diverse fasi del ciclo cardiaco. Entrambi si inseriscono direttamente sull’annulus mitralico, e s’incontrano a livello delle due commissure, posteromediale e anterolaterale.
 
                                                Valvola-dettaglio.jpg
Lembi valvolari mitralici con i 3 scallops (A1, P1 - A2, P2 - A3, P3),
delle due commissure e della continuità mitro-aortica.


3. Le corde tendinee, costituite da tessuto connettivo fibroso, collegano i lembi valvolari con i muscoli papillari. In base alla loro origine ed al punto di inserzione le corde tendinee sono distinte in:
  • Corde tendinee di I ordine che hanno la funzione di impedire, durante la sistole, il prolasso in atrio sinistro del margine libero dei lembi.
  • Corde tendinee di II ordine: Hanno la funzione di ancorare la valvola. Di queste fanno parte le corde principali, due per ogni muscolo papillare, che hanno la funzione di impedire che i lembi valvolari assumano l’aspetto a cupola. La loro rottura è causa del flail del lembo.
  • Corde tendinee di III ordine: dette corde basali o murali o false, contribuiscono al sostegno della parte centrale dei lembi.
corde-tendinee-e-muscolo-papillare.png

4. I muscoli papillari sono due: anteriore e posteriore ed ognuno di loro fornisce corde tendinee per entrambi i lembi valvolari.

La vascolarizzazione e’ molto importante per comprendere la patogenesi dell’insufficienza mitralica ischemica; infatti il muscolo papillare anteriore è vascolarizzato sia dall’arteria discendente anteriore che dalla circonflessa della coronaria sinistra, mentre il muscolo papillare posteriore è irrorato soltanto da rami della coronaria destra, ed è quindi più suscettibile al danno ischemico.

Oltre agli elementi descritti, anche il ventricolo sinistro (5) può essere considerato parte dell’apparato valvolare mitralico, in quanto determinante sia da un punto di vista anatomico che funzionale, nei meccanismi valvolari.
 

Eziologia e classificazione

L’eziologia degenerativa è la più frequente causa di insufficienza valvolare mitralica. Il substrato anatomopatologico è rappresentato dalla trasformazione progressiva del tessuto connettivale fibroso dei lembi valvolari in tessuto lasso (floppy mitral valve). Poiché il processo degenerativo coinvolge anche le corde tendinee, quest’ultime si allungano e si assottigliano.

L’ischemia miocardica può essere causa di insufficienza sia acuta che cronica per rottura o disfunzione di un muscolo papillare. Anche l’endocardite batterica può essere responsabile di insufficienza valvolare, sia mediante perforazione che lacerazione delle cuspidi.

Alcune cardiomiopatie primitive, come ad esempio la cardiomiopatia dilatativa o la cardiomiopatia ipertrofica possono provocare insufficienza mitralica poiche’ lo stiramento dell’apparato sottovalvolare puo’ portare ad una imperfetta coaptazione dei lembi o ad un prolasso degli stessi nella cavita’ atriale durante la fase sistolica.
In prospettiva di una chirurgia di tipo riparativo, in realtà assume maggiore importanza unadefinizione funzionale del meccanismo patogenetico di base.
Sulla base di queste considerazioni, Carpentier ha proposto un sistema di classificazione estremamente efficace, ormai universalmente accettato, che si basa essenzialmente sul movimento dei lembi nel contesto della patologia della valvola.

Esistono pertanto tre tipi di condizione:
  • Tipo I : IM con movimento dei lembi normale
  • Tipo II : IM con eccessiva motilità dei lembi, o prolasso
  • Tipo III : IM con movimento dei lembi limitato
  • III a : limitazione in sistole
  • III b : limitazione in diastole
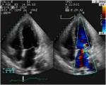
Una insufficienza mitralica di tipo I (con normale movimento dei lembi) è dovuta a dilatazione anulare spesso secondaria alla dilatazione del ventricolo sinistro,ed a incompleta coaptazione dei lembi o insufficiente superficie di coaptazione dei lembi.
 
Immagine82-107x150-(1).jpg Immagine92-150x120.jpg
Insufficienza mitralica di tipo I, dovuta a dilatazione anulare e relativa immagine all’eco-colordoppler
 
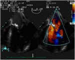
Un’ insufficienza mitralica di tipo II (prolasso dei lembi o lembi ipermobili) è causata da allungamento o rottura delle corde tendinee o da allungamento o rottura dei muscoli papillari in conseguenza, ad esempio, di un infarto miocardico acuto.
 
Infine, una insufficienza mitralica di tipo III (con limitato movimento dei lembi), è dovuta a irrigidimento e retrazione dei lembi o a calcificazioni, secondari a patologia reumatica o endocardite infettiva, oppure può essere dovuta a dilatazione dell’anulus con cedimento e/o retrazione dei lembi, come si può verificare in corso di cardiopatia ischemica cronica o di cardiomiopatia dilatativa, o a infarto, più frequentemente posteriore, che provoca retrazione del lembo posteriore.

Immagine112-109x150.jpg Immagine122-150x120.jpg
Insufficienza mitralica di tipo IIIa, dovuta a limitazione dei movimenti dei lembi durante la diastole.
 
Immagine131-104x150.jpg Immagine141-150x120.jpg
Insufficienza mitralica di tipo IIIb, dovuta a limitazione dei lembi valvolari durante la sistole.
Immagine73.jpg

Tipo I Tipo II Tipo III
Rappresentazione schematica della classificazione di Carpentier dell’insufficienza mitralica

Immagine101.jpg

Insufficienza mitralica di tipo II, dovuta a rottura o stiramento di una corda tendinea (a sinistra e al centro), o a rottura di un muscolo papillare (a destra).

Fisiopatologia e clinica

L’insufficienza valvolare determina un sovraccarico di volume del ventricolo sinistro, che si dilata e si ipertrofizza ed il rigurgito mitralico determina anche una progressiva dilatazione atriale.

Il disturbo emodinamico principale in questi pazienti è pertanto la riduzione della portata cardiaca ed inoltre la dilatazione del ventricolo sinistro può causare una dilatazione dell’anulus mitralico e quindi un aumento secondario del rigurgito, instaurando un circolo vizioso che porta allo scompenso. La rottura di corde, molto frequente nei pazienti con insufficienza fibroelastica è responsabile dell’insorgenza acuta di IM in pazienti precedentemente asintomatici, o dell’aggravamento repentino nei pazienti con prolasso noto della valvola mitrale.
I pazienti con insufficienza mitralica cronica presentano un ingrandimento massivo dell’atrio sinistro, ma sia le pressioni atriali che le resistenze vascolari polmonari sono normali o solo lievemente aumentate; nella fase di compenso infatti, questi pazienti sono spesso del tutto asintomatici o possono presentare una sintomatologia secondaria ad una bassa gittata cardiaca con astenia e affaticamento. A volte questi pazienti presentano come prima manifestazione clinica proprio la fibrillazione atriale. Quando però questi meccanismi di compenso vengono meno allora i pazienti possono presentare grave astenia, dispnea da sforzo ed ortopnea. Nei pazienti con marcata ipertensione polmonare e vasculopatia polmonare associate a insufficienza mitralica si avrà la comparsa di un’insufficienza ventricolare destra, caratterizzata da dolorose congestioni epatiche,edemi declivi, giugulari turgide, ascite ed insufficienza tricuspidale.

Diagnosi strumentale

L’elettrocardiogramma nell’insufficienza mitralica è spesso nei limiti della norma. I principali segni elettrocardiografici sono la dilatazione atriale e la fibrillazione atriale. Segni di ipertrofia e sovraccarico del ventricolo sinistro sono anch’essi di comune riscontro in pazienti con insufficienza valvolare severa. Circa un 15% dei pazienti mostra evidenza di ipertrofia del ventricolo destro come conseguenza di ipertensione polmonare di grado tale da controbilanciare l’ipertrofia del ventricolo sinistro. Nelle forme ischemiche si possono evidenziare i segni di ischemia e lesione miocardica, soprattutto nelle derivazioni inferiori.

Alla radiografia del torace la morfologia e la volumetria cardiaca appaiono alterate per la dilatazione delle camere sinistre nei casi di insufficienza di grado significativo.Raramente possono apprezzarsi calcificazioni mitraliche.

Lo studio emodinamico, eseguito tramite cateterismo cardiaco, può evidenziare, attraverso laventricolografia in proiezione obliqua anteriore destra(la più adatta per studiare la valvola mitrale), un’insufficienza mitralica: la comparsa del mezzo di contrasto in atrio sinistro durante la sistole ventricolare indica il rigurgito in atrio.

Una stima della gravità dell’insufficienza è possibile attribuendo al reperto un punteggio compreso tra 1+ (lieve opacizzazione dell’atrio sinistro, mai totale e con eliminazione completa del contrasto ad ogni battito) e 4+ (marcata opacizzazione dell’intero atrio sinistro ad ogni battito, con presenza di contrasto refluo in vena polmonare). Il vantaggio risulta dalla possibilità, nell’ambito della ventricolografia, di eseguire la coronarografia che può mettere in luce una malattia coronarica, causa essa stessa della condizione patologica della valvola.

L’ Ecocardiografia rappresenta l’esame diagnostico principale per la diagnosi di insufficienza mitralica. Ci permette infatti la visualizzazione morfologica dell’apparato valvolare e delle camere cardiache, durante tutto il ciclo cardiaco, e quindi ci consente di valutarne lo stato e la funzionalità. Eseguita in prima istanza per via transtoracica (TTE) con la metodica bidimensionale è in grado di chiarire l’etiologia del rigurgito, mentre integrata con le metodiche doppler ci consente di quantificarlo.
 
Nell’insufficienza mitralica degenerativa l’ecocardiografia deve fornirci una precisa valutazione dello stato e della mobilità dei lembi che vanno analizzati in tutti i loro segmenti tramite le varie proiezioni, in modo da stabilire se vi è allungamento o rottura di corde.
Sebbene le varie proiezioni della TTE ci forniscano molte di queste informazioni, per una migliore definizione anatomica, e per indirizzare il chirurgo verso una chirurgia di tipo riparativo, l’esame viene eseguito anche per via transesofagea (TEE), direttamente in sala operatoria.
Per stabilire l’entità del rigurgito ci si può avvalere di diversi parametri.
L’area del jet di rigurgito, esaminata al color-doppler , è uno dei parametri più usati, soprattutto quando espressa in rapporto all’area dell’atrio sinistro.
 
Il diagramma mostra la valutazione della severità dell’insufficienza mitralica usando l’approccio transesofageo con vista asse-lungo. La gravità dell’insufficienza mitralica (1-4+) viene stabilita in base alla lunghezza e alla larghezza del flusso di jet nell’atrio sinistro. LA, atrio sinistro.; RV, ventricolo destro; LV, ventricolo sinistro.
 
Il Volume rigurgitante, la Frazione rigurgitante e l’EROA (effective regurgitant orifice area), sono tre ulteriori parametri che consentono di quantificare l’insufficienza.
Il volume rigurgitante è calcolato in base alla differenza fra il volume ematico che affluisce al ventricolo e la quantità che viene eiettata in aorta. La frazione rigurgitante rappresenta il rapporto tra volume rigurgitante e volume che affluisce attraverso la valvola espresso come percentuale, ed è quindi un indice di severità più standardizzato.
L’EROAè un parametro molto utilizzato, e viene calcolato con il metodo PISA (proximal isovelocity surface area), che si basa sull’osservazione che un flusso convergente che si avvicina ad un orifizio rigurgitante aumenta gradualmente la sua velocità, che a sua volta si distribuisce concentricamente secondo superfici emisferiche. La vena contracta è la porzione più ristretta del jet di rigurgito mitralico lungo la corrente che esce dall’orificio rigurgitante. Il flusso in questa regione, sebbene proceda ad alta velocità, è organizzato in una serie di linee di flusso parallele. La larghezza della vena contracta è un parametro che ha dimostrato una buona correlazione con altri parametri misurati con metodi quantitativi, soprattutto con l’EROA (effective regurgitant orfice area), anche in caso di jet eccentrico.

In base a tutti questi parametri, l’insufficienza mitralica è considerata severa quando:
 
  • Area del jet > 40% dell’area dell’atrio sinistro
  • Vena Contracta > 0,7 cm
  • Volume rigurgitante > 60 ml
  • Frazione rigurgitante > 50%
  • ERO > 0,4 cm2
  • Inversione del flusso polmonare in sistole
ecocardiografia.jpg

Immagine16.jpg

Il diagramma mostra la valutazione della severità dell’insufficienza mitralica usando l’approccio transesofageo con vista asse-lungo. La gravità dell’insufficienza mitralica (1-4+) viene stabilita in base alla lunghezza e alla larghezza del flusso di jet nell’atrio sinistro. LA, atrio sinistro.; RV, ventricolo destro; LV, ventricolo sinistro.

Indicazioni e trattamento chirurgico

Una volta stabilita la severità del vizio valvolare, si pone indicazione all’intervento chirurgico in tutti i pazienti sintomatici, con normale o ridotta funzione ventricolare, e nei pazienti asintomatici o paucisintomatici in cui si evidenzi una disfunzione contrattile (frazione di eiezione ≤ 0.60; volume tele sistolico ≥ 45 mm).Vari sono i pro e i contro all’intervento, per cui la scelta del timing chirurgico è basata su dati clinici e strumentali, oltre che sulla valutazione dei rischi operatori e sulla preferenza del paziente stesso. Anche la possibilità di prevedere il tipo di intervento, riparativo o sostitutivo, condizionerà il timing chirurgico.

L’ideale sarebbe intervenire prima che si realizzi una compromissione irreversibile della funzione ventricolare.

Infatti, in seguito ad un intervento eseguito tardivamente, spesso residua una disfunzione severa del ventricolo sinistro, determinante per la prognosi; al contrario un intervento eseguito precocemente, soprattutto se consiste in una riparazione, comporta un rischio operatorio basso e consente al paziente una qualità e un’aspettativa di vita non diversa dalla popolazione normale.I vantaggi della riparazione rispetto alla sostituzione includono il miglioramento della sopravvivenza, la minore mortalità perioperatoria e la migliore preservazione della frazione di eiezione post-operatoria, come dimostrano diversi studi che sono stati pubblicati nell’ultimo decennio.
 
Immagine17-150x120.jpg Immagine18-150x120.jpg
Resezione Quadrangolare
 
Sebbene la decisione finale sulla riparabilità o meno della valvola possa essere ottenuta all’ispezione chirurgica, di certo l’ecocardiografia dà delle accurate predizioni circa la probabilità di riparazione, molto importante soprattutto quando si valutano pazienti asintomatici.

Benché la riparazione della valvola mitralica è da preferire, rimane un’operazione tecnicamente difficile da eseguire. Inoltre la riparabilità della valvola e l’adeguata esperienza chirurgica fanno modificare le probabilità di successo, soprattutto per le lesioni complesse. Quando un’attenta valutazione della possibilità di riparazione valvolare non e’ considerata fattibile, la sostituzione valvolare mitralica con preservazione delle strutture sottovalvolari è considerata l’opzione successiva.Infatti, quando durante l’intervento chirurgico di sostituzione mitralica l’apparato sottovalvolare non viene preservato, viene ad incrementarsi la sfericità post-chirurgica del ventricolo sinistro; questo cambiamento geometrico non favorevole spiega il decremento della frazione di eiezione post-operatoria rispetto all’intervento di sostituzione con preservazione dell’apparato sottovalvolare.
 
Immagine19-150x115.jpg Immagine20-150x119.jpg
Sliding Plasty

Nel considerare specificatamente la patologia degenerativa possiamo dire che il grado di fattibilità dell’intervento riparativo è molto elevato essendo eseguibile in più del 90 % dei pazienti riferiti per intervento chirurgico. E’ stato stimato che oltre l’80% delle valvole sono riparabili; nei centri altamente specializzati, oltre il 90% degli interventi sulla valvola mitralica ischemica sono effettuati attraverso metodiche riparative.

Nel caso specifico dell’insufficienza mitralica ischemica, in pazienti con vizio valvolare severo, la correzione della patologia valvolare in associazione al by-pass è certamente raccomandata, in particolare la riparazione valvolare.
 
Immagine211-150x119.jpg Immagine221-150x111.jpg
Edge To Edge
 
La chirurgia valvolare in pazienti con insufficienza mitralica ischemica moderata continua ad essere controversa; comunque ci sono dati che suggeriscono il beneficio della procedura chirurgica riparativa.

Se da un lato vi è accordo unanime sul fatto che di fronte ad una sintomatologia dispnoica importante (NYHA III o IV) venga posta chiara indicazione all’atto chirurgico anche con una funzione cardiaca conservata, diversi dubbi sorgono nel considerare l’opportunità di un intervento in pazienti asintomatici .
Le controversie su questo argomento sono state parzialmente risolte prendendo in considerazione quanto detto sugli indici di funzione ventricolare, in modo da intervenire ai primi segni di declino della funzione.
Ma nei pazienti asintomatici con una funzione ventricolare normale bisogna considerare anche altri parametri che possono giustificare l’indicazione quali ad esempio la Fibrillazione Atriale, che comunemente si associa ad insufficienza mitralica, e che si è dimostrata un ulteriore fattore determinante sulla sopravvivenza e sulla funzione cardiaca, ed ancora come un utile indicatore di progressione della malattia.
 
Inoltre la persistenza di FA nel postoperatorio, comportando un elevato rischio tromboembolico,vanifica uno dei vantaggi della chirurgia riparativa dato che il paziente dovrà essere sottoposto ad una terapia anticoagulante continua, per cui poiché il principale fattore prognostico per il mantenimento di un ritmo sinusale dopo la riparazione mitralica risulta essere la presenza di ritmo sinusale nel preoperatorio, ed essendo stato dimostrato che la comparsa di FA recente, o comunque la presenza di FA cronica da meno di un anno permette ancora una buona probabilità di ritorno ad un ritmo sinusale dopo intervento, questo indica la necessità di porre indicazione chirurgica precocemente anche nel paziente asintomatico.
Pertanto il razionale della chirurgia in un paziente asintomatico e con buona funzione ventricolare sarebbe quello di preservare tale funzione, ma ciò vale solo se la lesione è suscettibile di riparazione, poiché solo in questo caso tale indicazione si rende appropriata, dati gli ottimi risultati.

CARDIOBAND
 
Esiste oggi un sistema innovativo per trattare l’insufficienza mitralica, il Cardioband. Tale procedura, che consiste in una anuloplastica diretta, viene eseguita per riparare la valvola mitralica mal funzionante accedendo attraverso dei micropunti  dalla vena femorale con un dispositivo.

Il trattamento chirurgico prevede l'impiego di un device che evita di aprire il torace, di fermare il cuore, e quindi di ricorrere alla circolazione extracorporea, a differenza di quanto accade con la chirurgia tradizionale.

L'intervento con il sistema Cardioband si articola in due fasi: nella prima il chirurgo procede all'inserimento del device per via percutanea dalla vena femorale. Nella seconda parte dell'operazione il dispositivo viene agganciato alla valvola, sulla quale si posiziona un anello che serve a ridimensionare quello mitralico. Per tutta la durata dell'intervento è attivo un costante monitoraggio radiografico e fluoroscopico. 

La metodica è all’avanguardia soprattutto in termini di vantaggio per i pazienti che non subiscono traumi né disagi post-operatori tipici della chirurgia a cielo aperto.

Il Cardioband è considerato dalla comunità scientifica una delle tecniche più sicure ed efficaci per la riparazione della valvola mitralica, capace di ridurre il rigurgito mitrale e migliorare la qualità di vita dei pazienti.
Immagine231.jpg

Anello per plastica valvolare
Da 50 Anni la tua salute è la nostra priorità